How It Works
Aligners FAQ
The Aligners system is the virtually invisible way to straighten your teeth and achieve the smile you've always wanted. Aligners uses advanced 3D computer imaging technology to depict your complete treatment plan, from the initial position of your teeth to the final desired position. Then, a series of clear aligners are custom-made for your teeth — and your teeth only — to move them little by little. Each aligner is worn for about two weeks before being replaced by the next in the series until the final position of your teeth is achieved. Your Aligners treatment time will be determined by your doctor based on your specific needs.
- Time for a snack? No problem. Take out your aligners to eat or drink whenever you want.
- You can remove your Aligners aligners, so you can brush and floss regularly, and keep your teeth and gums healthy.
- You can occasionally remove your Aligners aligners and enjoy a special night out.
- There's no need to change a thing. Continue your day-to-day activities while still straightening your teeth.
- Be yourself with Aligners aligners. Since they are clear, you don't have to hide your smile while going through treatment.
- With Aligners treatment, it's easy to make your smile picture perfect for that special occasion.
- Aligners appointments work with your schedule. Most visits are in and out, with a quick progress check once every six weeks.
Aligners aligners are clear, making Aligners a seamless fit with your lifestyle and day-to-day interactions with others. Aligners aligners are also removable. Unlike braces, you have the flexibility to eat and drink what you want during treatment simply by removing the aligners when you eat. You can also remove the aligners to brush and floss as you normally would for fresh breath and good oral hygiene. Unlike traditional metal braces, Aligners treatment does not use metal brackets or wires that could cause irritation to your mouth. In addition, you'll spend less time in the doctor's chair and scheduling appointments, and more time out doing the things you love. Lastly, Aligners’s technology allows you to view your virtual results and treatment plan before you start your treatment so that you can preview how your straight teeth will look once your treatment is complete.
More than 4 million patients worldwide have been treated with Aligners. The number of Aligners smiles grows daily. At your next appointment, we can help answer any questions you might have, and get you started on the smile you've always wanted.
Less than with braces! We typically only need to see you every 8 weeks, which means that Aligners treatment shouldn’t interfere with your busy lifestyle. At each visit, we make sure your teeth are moving the way they were prescribed, and make any necessary adjustments along the way.
Certainly! Many of our adult Aligners patients have had previous treatment and are looking for an esthetic tune up to their smile.
What Our Patients Say
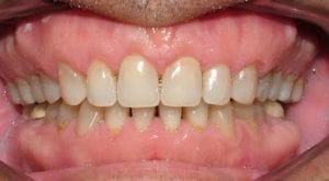
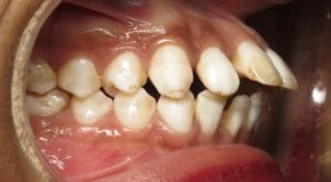
Aligners and Invisalign Smile Gallery
Invisalign and Clear Aligners Testimonials
More than 3,000,000 people are smiling brighter thanks to the Aligners system. See how just a few of their lives have changed with Aligners.
The Outcome Simulator
Visualize how your teeth may look after Aligners treatment.
Seeing the “end result” before you decide can take the guesswork out of your decision and put you on the path to the smile you’ve always wanted.
Comfortable
No more gooey mess with impression materials
Breathe and swallow as you normally would
No unpleasant taste or smell
Fast
View 3D scans onscreen immediately
Faster delivery of your personalized Aligners treatment plan
Accurate
Eliminates the need to retake impressions
Allows for a precise fit of Aligners clear aligners and retainers

































